Skip to content

Menu

← Back

Dr. Grace TS Law and Dr. Wilson KS Yee
Department of Medicine, Kwong Wah Hospital

Case History
Mr LT, a 69 years old life-time fisherman, was an ex-smoker and ex-drinker. He was not on any regular medications and had no significant family history.

In November 2000, he was incidentally found to have a RUL nodule and underwent a wedge resection in another hospital. Pathology showed only a parenchymal scar. His CXR (which showed RUZ fibrotic scar) had no interval change until 2003.

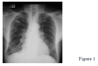
In mid 2004, he started to have productive cough with mucoid sputum. He also had mild exertional dyspnoea but no haemoptysis or chest pain. Constitutional symptoms were also absent. CXR showed new BLZ fine reticulonodular shadows (Fig.1). Sputum examination for AFB, cytology and pyogenic organisms were all negative.

multiple soft right supraclavicular lymph nodes with bilateral lower lobar fine crepitations. There was no rash or joint swelling and deformity.

The followings were blood test results:
Complete Blood Picture
Haemoglobin 12.2 g/dL
White Cell Count 4.7×109/L
(neutrophils 22%, lymphocytes 51%, eosinophilia 4%, monocyte 19%, basophil 1%, atypical lymphocyte 2% myelocyte 1%)
Platelet 192×109/L

Renal Function Test Normal
Serum calcium Normal

Cond’t of blood tests results:
Liver Function Test Normal except
Albumin 27 g/L
Globulin 82 g/L

Autoimmune Markers
ANF 1:160
Anti-ds DNA Negative
RF Negative
C3 31
C4 <5.6

Mid Stream Urine Clear

CT thorax was done in 8/2004 (Fig. 2a and 2b) and showed:
1. Mild emphysema
2. Multiple enlarged mediastinal, hilar, axillary, mesenteric and para-aortic lymphadenopathy
3. Focal subpleural contrast enhanced consolidation in RUL posterior segment and bilateral lung bases
4. RML and subpleural groundglass with traction bronchiectasis

Fine needle aspiration and later excisional biopsy of right cervical lymph node were performed, both showed only reactive hyperplasia.

Few months later, Mr LT was referred to Kwong Wah Hospital Medical OPD for further care because of geographical reason. CXR repeated at our OPD showed slightly increased bilateral lower zone reticulonodular shadows and persistent hilar lymphadenopathy.

Right cervical lymph node excision was repeated and showed only reactive changes.

Lung function revealed mixed restrictive and obstructive pattern:
FEV1/FVC 64% FEV1 1.78 (73% predicted) FVC 2.78 (75% predicted)
TLC 2.5 (51% predicted) DLCO 5.43 (27% predicted) KCO 2.05 (49 % predicted)

Arterial blood gas taken at room air:
pH 7.49 pCO2 3.7 pO2 8.3 HCO3 20.3 BE -1.5

Other blood test results:
IgG 56.2 (7.7-17.3) IgA 2.14 (0.89-4.46) Ig M 0.63 (0.57-2.38)
IEP/SEP/urine protein electrophoresis: no monoclonocal protein detected

Despite the persistence of his respiratory symptom, Mr LT had remained stable and afebrile. However, petechiae and brusies were seen over his limbs during the subsequent follow up. Complete blood picture revealed pancytopenia:
Total WCC 3.1 x109 /L (neutrophils 14%, lymphocytes 53%, eosinophils 9%, monocyte 17 %, atypical lymphocyte 5% and myelocyte 2%)
Hb 10g/dL Platelet 7 x109 /L ESR 145

Immediate admission was arranged with platelet transfusion given but the thrombocytopenia persisted.

Further blood tests were performed:
Ig G 74.3 Ig A 1.63 Ig M 0.63
ANF 80 anti-ds DNA < 10
Rheumatoid Factor negative
C3 0.23 C4 < 0.1 CRP 32.5
c-ANCA negative
p-ANCA weakly positive
MPO-ANCA < 0.5
Anti ENA antibody negative
Direct Antiglobulin test positive
DAT (Anti-IgG) positive
Cold agglutinin/Ham’s test negative
NAP score NAD
Widal/VDRL/Leptospiral IgM /Brucella Antibody negative
HIV antibody negative
Atypical pneumonia titer/Viral titre/Sepsis work up negative

No organomegaly could be detected from ultrasound. Patient denied any self medications history.

Bone marrow examination showed hypercellularity with adequate trilineage precursors. No abnormal cellular infiltrates was seen, plasma cells comprised of < 5% only. Immunostaining showed both lamda and kappa light chain.

In view of the lack of evidence of infection, fluctuating cytopenia esp. thrombocytopenia, positive direct antiglobulin test and low positive ANF titre, an ill-defined ongoing autoimmune process was suspected. Oral prednisolone 40mg /day was started. Fever subsided and the thrombocytopenia improved.

3 days later WCC 3.6 x109 /L Hb 9g/dL platelet 81 x109 /L
5 days later WCC 13.7 x109 /L Hb 9.7g/dL platelet 206 x109 /L

Patient then agreed for further investigation and he was referred to cardiothoracic clinic for consideration of open lung biopsy and mediastinoscopic LN biopsy. CT thorax was repeated and showed similar findings to previous. Patient remained well while on steroid without recurrence of cytopenia.

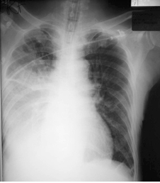
Slightly more than one week after the commencement of prednisolone, patient developed septic shock with fever: Both invasive positive pressure ventilation and inotropes support were required. CBP showed only mild leucocytosis (WCC: 13.7 109 /L [neutrophils 7.7]), Hb: 9.7 g/dL & Platelet: 206 x109 /L).

CXR (Fig.3) showed increased right sided consolidation and potent intravenous antibiotic was started.

ECG revealed new ST segment depression over anterior leads. Troponin I was raised. Preliminary blood culture reported gram negative bacilli. Unfortunately, patient passed away the next day despite vigorous medical treatment.

Limited post mortem examination was performed, major findings were:

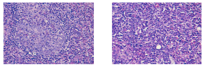
1. Many enlarged lymph nodes present in both hilar regions and mediastinum (largest measured 4cm in maximum dimension). Histology revealed proliferation of lymphoplasmacytic cells with architecture well preserved (Fig 4a & 4b).
2. Marked pleural adhesion was present in both sides, more severe in right side. Both lungs showed congestion and oedema. Consolidation of lung parenchyma with reddish appearance was present esp. in RML and BLL (Fig. 5a & 5b). There were also areas with septae thickening and polyclonal lymphocytic and plasma cells infiltrates, suggestive of lymphocytic interstitial pneumonitis (Fig 6a & 6b).
3. Both lung and lymph node PCR for HHV-8 negative.
4. Blood culture acinectobacter baumanii (sensitive to carbapanem, amikacin).

After discussion with our pathologist together with thorough literature search, we believed that our patient was suffering from a disease entity called multicentric Castleman’s disease (MCD). Autoimmune disorders were the major differential diagnosis. However the latter condition (esp. SLE) was less likely as:
1. Only two ARA SLE diagnosis criteria were met ( cytopenia with evidence of haemolytic anaemia, mildly elevated ANF titre )
2. Age and the ethnicity of our patient was not typical for SLE
3. Classical lupus lymph node histology of follicle necrosis with haematoxylin bodies were absent in our case

Therefore, the final diagnosis was plasma cell variant of MCD.

Discussion
Castleman’s Disease (CD) was first described in 1956 by Benjamin Castleman, also known as angiofollicular lymph node hyperplasia. It is regarded as a rare lymphoproliferative disorder with well known association with HIV and human herpes virus (HHV-8)1. Majority of the cases are found in the western literature but few oriental cases have been reported2-4. It is diagnosed by presence of classical lymph node histology with exclusion of other conditions e.g. infection, autoimmune processes, although auto-antibodies may sometimes be present. In fact, association of CD and connective tissue disorders has been reported and many authors have stressed their difficulties in differentiating the two5-8. Both conditions are believed to be resulted form chronic stimulation of B cells.

Pathogenesis of CD remains unclear and many different mechanisms have been proposed (e.g. immunocompromised states, chronic inflammation or autoimmune processes). Recently, the overproduction or hyper-responsiveness of interleukin 6 has been implicated and human herpesvirus 8 is believed to be closely associated. HHV-8 produces a viral analogue to IL-6 (vIL-6) with approximately 50% similarity to the human IL-6(hIL-6) gene on amino acid level. This leads to increased plasmacytosis in lymph node1.

Histologically, CD comprises of three forms:
1. Hyaline vascular variant: prominent proliferation of small hyalinized follicles with marked interfollicular vascular proliferation
2. Plasma cell variant: hyperplastic germinal centres and sheets of plasma cells in the interfollicular regions, in addition to the proliferated blood vessels and persistent sinuses. Hyalized follicles were found in some cases only
3. Mixed histologic type: includes features of both variants.

Clinically it comprises of 2 distinct presentations with very different prognosis:
 Unicentric (UCD) : localized lesion
 Multicentric (MCD): multiple areas involvement

Unicentric Castleman’s disease
Unicentric Castleman’s disease is in general, considered as a benign disorder of younger age group. Majority of cases are of hyaline vascular type and patients are generally asymptomatic. As the disease involvement is usually localized, surgery is the treatment of choice in UCD although radiotherapy is sometimes used. Despite its increased risks with lymphomas, prognosis still remains favorable with 5 years survival 100%.

Multicentric castleman’s disease
MCD is a more complicated condition. The age of onset of the disease is generally older (50’s or 60’s) with slight male predominance. Systemic symptoms and generalized peripheral lymphadenopathies are common (while HIV patients have more mediastinal and abdominal lymph nodes). Raised ESR with polyclonal hypergammapathy, anaemia and bone marrow polyclonal plasmacytosis are often present. Patients may also have hepatosplenomegaly. Pulmonary symptoms with infiltrates on imaging, besides common causes like infection, may suggest lymphocytic interstitial pneumonitis, especially in HIV patients9.

Lymph node histology in MCD is mainly plasma cell type or the mixed histology, hyaline vascular changes are present in small number of cases only.

Patterns of disease progression in MCD ranged from rapidly progressive to death within weeks (more common in HIV cases) to a chronic persistent form which may persist for months to a few years without worsening. An episodic relapsing form has also been described. Clinical course can be rapidly progressive in HIV patient

MCD patient usually die of fulminant infection or progression of the disease itself with multiorgan failure. Some may die of the associated malignancies e.g. Kaposi sarcoma or other hematological malignancies e.g. NHL, POEMS

Prognosis in general still remains poor with median survival of 26 to 30 months, even poorer for HIV patients.

No standard treatment protocol has been established in MCD because of the paucity of cases and clinical trials10. Surgery, in general, is of limited role although splenectomy is sometimes performed for disease debulking or for cytopenia. Steroid, on the other hand, is frequently prescribed with good clinical response. Chemotherapy is another major modality where aggressive chemotherapy liked CHOP/CVAD can be considered for carefully selected patients with good performance status1. Otherwise, single agent with vinblastine or etoposide should be given. Other drugs that have been reported in the literature, include anti viral agents (eg ganciclovir, foscanet, and interferon-alpha), liposomal doxorubicin, all trans retinoic acid, thalidomide etc1. Melphalan and autologus bone marrow transplantation have been used in refractory disease with good response9. Newer interventions include use of anti IL-6 and anti CD20 monoclonal antibodies. Good and sustained clinical improvements have been reported though data are still sparse1. There is another disease entity called idiopathic plasmactic lymphadenopathy (IPL) with polyclonal hypergammaglobulinia11,12. It is also a systemic condition which is clinically and histologically similar to multicentric disease except IPL has:

1. better 5 years survival
2. no HHV 8 association
3. no hyaline vascular changes in histology
4. none develop Kaposi’s sarcoma or B-cell lymphoma

IPL is therefore considered as an oriental version of MCD.

Reference

  1. Casper C. The etiology and management of Castleman’s disease at 50 years: translating pathophysiology to patient care. Br J Haematol 2005;129(1):3-17
  2. Yamasaki S. Detection of HHV-8 in peripheral blood mononuclear cells from adult Japanese patients with multicentric Castleman’s disease. Br J Haematol 2003;120(3):471-477
  3. Leung KT. Multicentric Castleman’s disease complicated by secondary renal amyloidosis. Nephrology 2004;9;392-393
  4. CY Leung. A case of Castleman’s disease mimicking a multicystic ovarian tumour. Hong Kong Med J. 1999;5(3):285-286
  5. Suwannatoj S etal . Systemic lupus erythematosus and Castleman’s disease. J Rheumatol 1999: 26:1400-3.
  6. Nanki T etal. Mixed connective tissue disease associated with multicentric Castleman’s disease. Scand J Rheumatol 1994; 23: 215-7
  7. Gohlke F etal. Autoimmune findings resembling connective tissue disease in a patient with Castleman’s disease. Clin Rheumatol 1997; 16: 87-92.
  8. Tavoni A et al. Multicentric Castleman’s disease in a patient with primary Sjogren’s syndrome. Rheumatol Int 1993; 12: 251-3.
  9. Guihot A etal. Pulmonary manifestations of multicentric Castleman’s disease in HIV infection: a clinical, biological and radiological study. Eur Respir J 2005; 26: 118-125
  10. Herrada J etal. The clinical behavior of localized and multicentric Castleman’s disease. Ann Intern Med 1998;128(8):657-662
  11. Kojima et al .Clinical Implication of Idiopathic Plasmacytic Lymphadenopathy with Polyclonal Hypergammaglobulinemia: A report of 16 cases. Int J Surg Pathol 2005;13:125-6
  12. Tsutani H et al. Idiopathic plasmacytic lymphadenopathy with polyclonal hyperimmunoglobulinemia(IPL) accompanied with severe thrombocytopenia and interstitial pneumonitis. Japanese journal of Clinical Hematology 1990;31(4):452-6