Skip to content

Menu

← Back

Drs CY Chan, Rick Lam, Department of Medicine, North District Hospital

Case 1
A 77-year old lady, who was a non-smoking and non-drinking old-aged home resident, had known history of hypertension, proteinuria and chronic airflow obstruction on spirometry. She had history of right lung opacity since 2000. Multiple investigations were performed in several hospitals and chest clinic including computed tomography (CT) of thorax, bronchoscopy, ultrasound (USG) guided / CT guided fine needle aspiration cytology (FNAC) between 2000 and 2003. However, no definite diagnosis could be achieved. As she was asymptomatic except occasional cough and she preferred not for any invasive investigation and intervention, she was under chest X-ray (CXR) surveillance in chest clinic till Sept 2003 when she experienced progressive dyspnoea, weight loss and persistent cough.

Investigation summary in 2000 to 2003

  • CT thorax in Feb 2000 – homogeneous opacity with well defined lateral margin over right para-vertebral region at T2 to T5 levels, no significant mass effects, no definite contrast enhancement except a thin rim of contrast enhancement is noted at the periphery of the lesion, possibly a bronchogenic cyst;
  • Lung function test in Oct 2002 – FYC 1.l3L (66% predicted), FEYI 0.83L (62% predicted), FEYIIFYC 73%;
  • CT thorax in Oct 2002 – huge right lung opacity extending from right apex to apical region of right lower lobe, heterogeneous intralesional contrast enhancement, no significant mass effects, segmental right upper lobe collapse;
  • Bronchoscopy in Dec 2002 – no endobronchial lesion seen, transbronchial lung biopsy at right upper lobe – unremarkable lung parenchyma;
  • USG guided FNAC in Dec 2002 – histology showed sheets of mesothelial cells;
  • Repeated lung function test in March 2003 – FYC 0.75L (44% predicted), FEYI 0.55L (41% predicted), FEYIIFYC 73%;
  • Repeated USG guided FNAC in July 2003 – failed because of the hard consistence of the lesion;
  • CT guided FNAC in Aug 2003 – fragments of thickened parietal pleural and intercostal skeletal muscle fibers, no lung tissue included in the specimen, the pleural tissue showed collagenous fibrosis, no inflammatory changes, granuloma, asbestos bodies or malignancy.

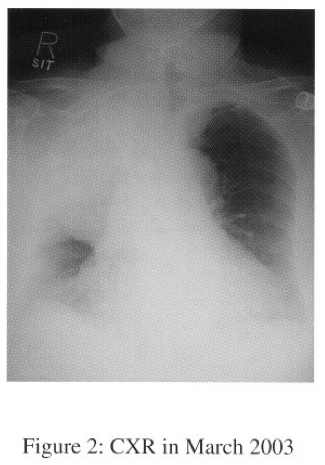
In Sept 2003, she was admitted to NDH for progressive dyspnoea and cough. CXR showed huge right lung opacity with right sided pleural effusion (Serial CXRs shown on figures 1-3).

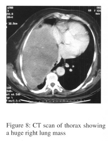
Arterial blood gases showed type I respiratory failure (pH7.44,PaC02 5.52,Pa02 7.30, HC03 27.2, Sa02 89%). Bronchoscopy showed a bulge seen over posterior segment of right upper lobe bronchus. Bronchial aspirate showed atypical cells. Transbronchial needle aspiration (TBNA) over right upper lobe bronchus was negative for malignancy. CT scan of thorax showed huge right lobulated lung mass with heterogeneous intra-lesional contrast enhancement and significant mass effect with displacement of the mediastinum towards left side and collapsed right upper, middle and lower lobes. Right sided pleural effusion was also present (Figure 4). The radiological feature was suggestive of mesothelioma, with differential diagnosis included other sarcoma.

Arterial blood gases showed type I respiratory failure (pH7.44,PaC02 5.52,Pa02 7.30, HC03 27.2, Sa02 89%). Bronchoscopy showed a bulge seen over posterior segment of right upper lobe bronchus. Bronchial aspirate showed atypical cells. Transbronchial needle aspiration (TBNA) over right upper lobe bronchus was negative for malignancy. CT scan of thorax showed huge right lobulated lung mass with heterogeneous intra-lesional contrast enhancement and significant mass effect with displacement of the mediastinum towards left side and collapsed right upper, middle and lower lobes. Right sided pleural effusion was also present (Figure 4). The radiological feature was suggestive of mesothelioma, with differential diagnosis included other sarcoma.

Arterial blood gases showed type I respiratory failure (pH7.44,PaC02 5.52,Pa02 7.30, HC03 27.2, Sa02 89%). Bronchoscopy showed a bulge seen over posterior segment of right upper lobe bronchus. Bronchial aspirate showed atypical cells. Transbronchial needle aspiration (TBNA) over right upper lobe bronchus was negative for malignancy. CT scan of thorax showed huge right lobulated lung mass with heterogeneous intra-lesional contrast enhancement and significant mass effect with displacement of the mediastinum towards left side and collapsed right upper, middle and lower lobes. Right sided pleural effusion was also present (Figure 4). The radiological feature was suggestive of mesothelioma, with differential diagnosis included other sarcoma.

Trucut biopsy of the lung mass was performed which showed similar histological feature as previous case (Figure 9).

Outcomes of two cases
Both cases underwent surgical intervention. In Case I, after surgical resection of the tumour, the right lung was fully re-expanded and she was able to be weaned off oxygen supplement. In Case 2, besides the re-expansion of previously collapsed right lung, her lung function test also returned to normal with FYC 2.28L (105% predicted; previous FYC 1.27L), and FEY I 1.55L (88% predicted; previous FEY I 0.89L).

Discussion
Solitary Fibrous Tumour (SFT) has an incidence of 2.8 per 100,000 registered hospital patients. It affects a1lage groups but peaks in the 6thand 7thdecades. Both sexes are equa1ly affected. It contributes to < 5% of all neoplasms involving the pleura. Two-thirds of these tumours arise from the visceral pleura, and the other one- third arises from the parietal pleura. About 13% of the cases had an aggressive clinical behaviour with local infiltration and local recurrence after resection. Distance metastases have been described, usua1lyby blood borne spread.

About half of the cases (54%) are symptomatic with the presenting symptoms of dyspnoea, cough, chest pain, and weight lost. Haemoptysis and obstructive pneumonitis are rare clinical features. Extrathoracic manifestation was also described including digital clubbing (10%), hypertrophic pulmonary osteoarthropathy (20%), and refractory hypoglycaemia secondary to raised insulin-like growth factor II level (5%).

Chest radiograph is the most important radiological tool for evaluation of SFT. It appears as a well-defined, homogeneous, and rounded mass on CXR. Pedunculated form of SFT has been reported to be moving on successive CXRs. Pleural effusion occurs in 8 – 17%, especially associated with malignant SFT. Calcifications are present in 7% of the tumour.

SFT appears as a sharply delineated, sometimes lobulated mass with same density as the musculature on CT scanning with usua1ly homogeneous contrast enhancement due to rich vascularization. However non-enhancing areas can be seen due to tissue necrosis, myxoid degeneration, or haemorrhage within the tumour. Contact with the pleural surface and displacement or invasion of the adjacent structure are the characteristic features of SFT on CT scan. MRI study defines the extent of SFT more clearly when compared with CT scanning and provides better tissue characterization. Both benign and malignant SFT have low signal intensity on TI -weighted images; while on T2-weighted images, benign SFT has a low intensity whereas malignant SFT appears with high signal intensity (due to increased vascularity, oedema and ce1lularity).

FNA-cytology is mostly inconclusive because SFT compose of acellular and hyperce1lular portions and difficult to obtain a representative material for analysis. Although trucut biopsy can increase the diagnostic yield, the definitive diagnosis is usually obtained by histology of surgical specimen. Macroscopically, SFTs appear as firm, smoothly lobulated masses, encapsulated by a thin, translucent membrane. Its size ranges from Icm to 39cm in diameter and its weight ranges form 12mg to 3800mg. The cut surface appears gray white to tan in colour with a whorled pattern with areas of hemorrhage and necrosis. Microscopica1ly,there is proliferation of uniformly elongated spindle ce1ls, intimately intertwining with various amount of connective tissue. Zones of hyperce1lularity may alternate with hypoce1lular or fibrous areas resulting in a patternless or storifrom pattern. Immunohistochemical staining is an extremely useful tool to differentiate SFT from mesotheliomas and other sarcomas (Table I).

Complete surgical resection is the mainstay of therapy of all types of SFT. Pedunculated tumours can be safely resected with wedge resection of the lung, however, large sessile tumours can be difficult to resect and may require lobectomy or even pneumonectomy. Video-assisted thoracoscopic excision seems to be a promising treatment for small SFTs. The role of adjuvant therapy has not been systematically explored. In selected cases, radiotherapy and chemotherapy had been shown to be beneficial.

The prognosis of SFTs depends on I) respectability of the tumour, 2) size of the tumour, 3) mitotic count on histological examination, 4) polymorphism, 5) areas of necrosis or haemorrhage within the tumour, and 6) stromal or vascular invasion.

References

  1. De Perrot M, Fischer S, Brundler MA, Sekine Y, Keshavjee S. Solitary fibrous tumors of the pleura. Ann Thorac Surg 2002;74:285-293.
  2. Sandvliet RH, Heysteeg M, Paul MA. A large thoracic mass in a 57- year-old patient. Chest 2000; 117:897-900.
  3. Takahama M, Kushibe K, Kawaguchi T, Kimura M, Taniguchi S. Video-assisted thoracoscopic surgery is a promising treatment for solitary fibrous tumor of the pleura. Chest 2004; 125:1144-1147.