Skip to content

Menu

← Back

Drs. YT Lo, HY Lo, and KB Tai, Department of Medicine, Alice Ho Miu Ling Nethersole Hospital

Case history
SARS had been an epidemic in Hong Kong from March to June in 2003. Patients presenting with common symptoms of fever, chills, rigor and myalgia together with radiological and biochemical abnormalities of atypical pneumonia can often mimic SARS. Detailed clinical history and physical examination, besides investigations, are crucial to the correct diagnosis and management. We present a case with atypical pneumonia but not SARS during the SARS outbreak period.

A 50 years old housewife who enjoyed good health and lived in a public housing estate in Shatin with her son and daughter, presented with fever, chills and rigor since 1 June 2003. She also had myalgia and frontal headache. She got mild cough with scanty whitish sputum but no shortness of breath. There was no SARS contact or recent travel history. In fact, she had limited her daily activity to morning jog and
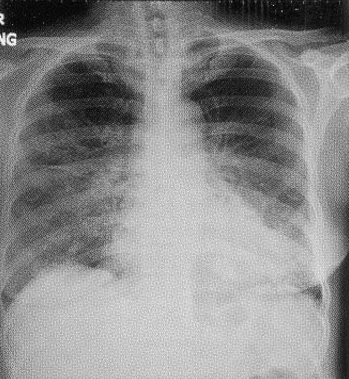
market place only due to SARS epidemic in Hong Kong. She had worn mask whenever she went outdoor. She was not on any medications or tonics. The patient had sought medical advice trom general practitioner. Her fever and symptoms persisted despite medications. She was subsequently admitted to a medical ward on 7 June 2003. Physical examination was unrevealing at that time. Chest X-ray taken on admission (Figure 1) showed mild bilateral patchy haziness. The blood tests showed thrombocytopenia (74 x 109/L), hepatitic type of liver function derangement (total bilirubin 8 µmol/L, ALP 315 IU/L, ALT 326 IU/L), raised LDH (695 IU/L) and low normal lymphocyte count (1.3 x l09/L).

Figure 1: Chest radiograph on admission

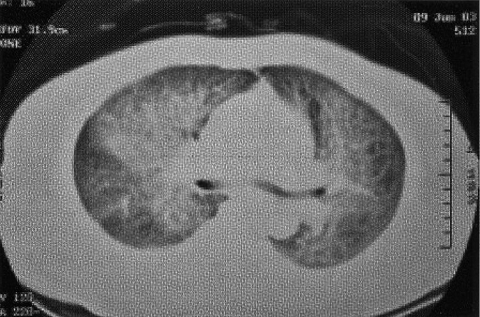
She was treated with intravenous cefotaxime and oral levofloxacin. Her clinical symptoms of fever, chills and myalgia persisted and started to have mild dyspnoea. Moreover, the blood tests repeated on second day of admission showed deranged clotting profile with prolonged APTT (40.2 seconds) and elevated D-dimer level (8 times of normal upper limit), lymphocyte dropped from 1.3 to 1.0 x 109/L. The stool, throat and nasal swabs for SARS coronavirus (CoV) reverse-transcription polymerase chain reaction (RT-PCR) were negative, and IgG-CoV titre sent on 8 June 03 was < 40. In view of the deteriorating clinical and haematological pictures, she was transferred to our hospital’s SARS triage ward on 8 June 2003. The patient required 2 litres/min oxygen to maintain SpO2 ~93% for transferral. Physical examination upon arrival revealed multiple mosquito bites and faint maculopapular rash over both lower limbs, bilateral crepitations over her chest and mildly elevated jugular venous pressure. CXR repeated on 8 June 2003 (Figure 2) showed more extensive bilateral alveolar shadowing. Electrocardiogram showed sinus tachycardia without ischaemic change. HRCT thorax (Figure 3) was performed on 9 June 2003, which showed extensive consolidation with air bronchogram and ground glass opacification in all lungs fields, bilateral pleural effusion with right side more than left side. The differential diagnoses at that juncture included SARS, congestive heart failure with elements of pneumonia, pneumonitis and dengue fever.

Figure 2: Chest radiograph on day 2 after admission showing extensive bilateral alveolar shadows
Figure 3: HRCT thorax showing extensive bilateral consolidation and ground glass opacification

The patient was planned to receive Kaletra, ribavirin and hydrocortisone for suspected SARS on 9 June 2003. She volunteered to have a patch of rash present for one month over her left groin region while she was being asked for any drug allergy before the commencement of the anti-viral drugs. The rash was a dark patch of crusted lesion, which was compatible with an eschar (Figure 4). On further history enquiry, she hiked in the hillside every morning and sustained multiple insects’ bites though she could not recall when the groin region had been bitten.

Figure 4: A dark patch of crusted lesion in groin suggestive of eschar

The working diagnosis was therefore changed from suspected SARS to typhus based on the clinical features. Anti-retroviral drugs and steroid were not given eventually. Doxycycline 100mg was given orally at once and continued with intravenous levofloxacin. Her symptoms improved substantially, so were her CXR (Figure 5), biochemical and haematological pictures (Table 1).

Figure 5: Chest radiograph showing resolution of alveolar shadows after treatment
Table 1: Laboratory tests during treatment

The Weil-Felix agglutination test only showed mildly raised OX 19 titre at 40, while both OX K and OX 2 titres were not raised at 20. Her Widal test was negative. The IgM antibody for dengue virus was negative. The IgG-CoV titre, and stool, nasal and throat swabs for SARS CoV RT-PCR repeated on 13 June 2003 were 40 and negative, respectively. The specific rickettsial serology by immunofluorescent method later confirmed she had scrub typhus with titre of 640. Other rickettsial group titre were not raised: spotted fever group < 80, typhus group < 80 and R. coroni < 80. Her fever came down since 10 June 2003 and clinical symptoms subsided substantially. She was discharged with resolution of biochemical, haematological and radiological abnormalities.

Discussion
Rickettssial infection, in contrast to SARS is not new to us. Rickettsia was named after Dr. Howard Taylor Ricketts had died of typhus in Mexico in 1910, shortly after completing his remarkable studies on Rocky Mountain spotted fever.1 Apart from the spotted fever group, rickettsia is capable of causing other entities like scrub typhus, murine typus, ehrlichiasis and Q fever.

The focus of the present case is on scrub typhus which is caused by Orientia tsutsugamushi, also known as Rickettsia tsutsugamushi.2 The disease is widely distributed in eastern Asia and Pacific Rim. It was first reported as a life threatening, endemic disease in Japan in 1948.3 While it is famous as a special endemic infection in this region of the world, pulmonary manifestation in scrub typhus is said to be uncommon and thus less well studied in literature.4

As with other rickettsia, Orientia Tsutsugamushi is an obligate intracellular, gram negaitve species that colonizes endothelial cells in particular. It is zoonotic with wild rat as reservoir. Transmission to human occurs accidentally by the bite of the larval stage of thromboculid mites (chiggers), commonly found in regions with scrub and vegetation, and hence the name of scrub typhus.

After arriving at human body, the organisms invade and proliferate in the endothelial cells of small blood vessels including arteries, veins and capillaries. The direct disruption of endothelial cells as well as cytotoxic effects lead to generalized vasculitis. Clinically, the initial site of inoculation may form an ulcer with black necrotic centre, which is better known as eschar. This cardinal feature is found in around 50% of cases. Typically, patients develop fever after incubation of 1-3 weeks. They then develop local and then generalized lymphadenopathy. It is followed by macular or papular rash, classically on day 5. The rash starts in the truncal area and then spread to the extremities. It is usually associated with headache, dry cough and myalgia.

Laboratory results are non-specific in scrub typhus. Half of patients have normal WBC, one third will have leucocytosis while the rest showed mild neutropenia. Thrombocytopenia is present in up to 44% of patients. Elevation in AST or ALT was noted in 75-81% of patients with scrub typhus. Proteinuria is relatively common and is found in 20% of patients in a study in Taiwan. 5

Although considered uncommon in literature, complications do occur. They usually develop in 2nd week of the disease. More important ones include pneumonitis, myocarditis and acute renal failure. If left untreated, mortality of scrub typhus can be up to 30%. 4 In contrast, mortality is rare with treatment.

Focusing on pulmonary manifestation of the disease. It is likely to be more common than we believed in the past. In a relatively recent study in China, 21.6% of patients developed pulmonary manifestation. 6 Symptom is rather non-specific. It is common for patients with pulmonary manifestation to have fever. Half of them will have cough while only some will have other chest symptoms like dyspnoea, hemoptysis or chest pain. Radiographically, interstitial shadows are more common. 40% patients developed reticulonodular opacities. 6 However, variable patterns of involvement including patchy consolidation, confluent consolidation, ground glass opacity can occur. Pulmonary involvement is more common to be bilateral in 72% of patients. 6 Slight predilection to lower zones is noted. Pleural effusion occurred in one-third while hilar enlargement occurred in a quarter of patients.

More specific investigation for rickettsia remains serological. It is classical to do Weil-Felix agglutination test (after its introduction by Weil and Felix in 1916) 7. It is essentially an agglutination test against Proteus OX suspensions, which is a property found in a significant portion of rickettsia. Traditionally, OXK is more specific for scrub typhus, OX2 for spotted fever group and OX19 for the endemic typhus group.9

Other rickettsia is not detectable by Weil-Felix test. It is flawed by being both insensitive, missing 50% of cases according to a study by Berman 1973, 7 and nonspecific, showing cross reactions among different rickkettsial groups as well as to other diseases like infectious mononeucleosis, leptospirosis, brucellosis and obviously infection with Proteus. The only reason why Weil-Felix test is still in existence is because of the fact that it is both cheap and simple to perform. Newer tests involving immunoperoxidase, immunofluorescence and PCR are more accurate. They allow differentiation among different Rickettsial species. Therefore, Weil-Felix test is still used as an initial investigation in Hong Kong.

As far as treatment is concerned, 1st line treatment therapy is tetracycline or doxycycline (e.g. doxycycline 100-200mg twice daily for 7-14 days). The therapy is so effective that it usually leads to defervescence within 48 hours, this response is made use of in poverty countries as a diagnostic test. In certain countries where rickettsial infection is prevalent, resistant strain has been reported, for instance, in Northern Thailand. Rifamipicin constitutes 2nd line treatment in cases of tetracycline resistance or intolerance. Recent studies have demonstrated in-vitro and in-vivo activities of levofloxacin in treatment of Scrub typhus. 8 Though it should still be reserved to cases where first line treatment fails. On the other hand, prevention of scrub typhus might involve several aspects:
Environment:
1 Clearing of vegetation
2 Chemical treatment of the soil

Personal preventive measures:
1Avoid prolonged exposure to mites
2 Dressing clothes with long sleeves
3 Use of insect repellent
4 Took a bath after potential exposure
5 Prophylactic antibiotics (only considered under special circumstances in endemic region) e.g. tetracycline every 5 days for 35 days

In HK, Scrub typhus is one of the notifiable diseases. Its incidence peaks in May to October, when the weather is hot and humid. While scrub typhus was not prevalent in our locality, 41 cases have been reported in 1979-1988.9

In essence, there are several salient points illustrated by this case:
1 While scrub typhus is not common, it does occur in HK.
2 One should hold a high index of suspicion for rickettsial infection in atypical cases.
3 Appropriate attention to travel history and exposure to potential vectors is vital
4 There are important clinical clues suggestive of the diagnosis, e.g. eschar
5 Early presumptive diagnosis, followed by appropriate investigation and treatment is important

References

  1. CDC Document: Rocky Mountain spotted fever, 2000.
  2. Seong SY, Choi MS, Kim IS. Orientia tsutsugamushi infection: overview and immune responses. Microbes Infect 2001 Jan; 3(1): 11-21.
  3. Ogawa M, Hagiwara T, Kishimoto T et al. Scrub typhus in Japan: epidemiology and clinical features of cases reported in 1998. Am J Trap Med Hyg 2002 Aug; 67(2): 162-5.
  4. Choi YH, Kim SJ, and Lee JY et al. Scrub typhus: Radiological and clinical findings. ClinRadial,2000 Feb: 55(2) 140-4.
  5. Tsay RW, Chang FY. Serious complications in scrub typhus. J Microbial Immunol Infect 1998 Dec; 31(4): 240-4.
  6. Wang S, Huang J, Peng G et al. Natural foci of tsutsugamushi disease in the Nan Peng Lie Islands in China. Chin MedJ (Engl) 2002 Feb; 115(2): 272-5.
  7. Bassett DC, Ho AK, Tam JS et al. The laboratory diagnosis of rickettsial diseases in Hong Kong. J Trap Med Hyg 1992 Oct; 95(5): 327-30.
  8. Maurin M, Raoult D. Bacteriostatic and bactericidal activity of levofIoxacin against Rickettsia rickettsii, Rickettsia conorii, ‘Israeli spotted fever group rickettsia’ and Coxiella bumetii. J Antimicrob Chemother 1997 Jun; 39(6): 725-30.
  9. Heap BJ. Scrub typhus in Hong Kong. J Trap Med Hyg 1991 Apr; 94(2): 97-101.