Skip to content

Menu

← Back

Dr. Christopher Lai, Private Pulmonologist

Case history
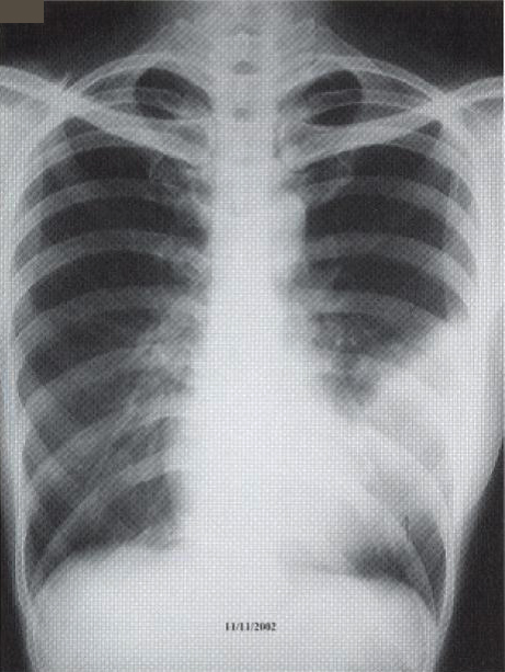
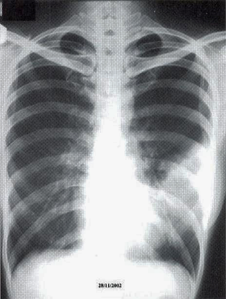
A 41-year old secretary was found having a left mid zone opacity on a routine CXR taken as part of her annual medical check-up (fig. la). This radiographic abnormality persisted after she was given a course of Azithromycin by her family physician (fig. 1b). She was a lifelong non-smoker with a past history of hyperthyroidism treated with drugs for 18 months in 1985-86 and had been euthyroid since. Two months prior to her medical check-up, she had a flu-like illness with cough and a sore throat that lasted for about a fortnight. She had been asymptomatic since apart from a slight cough occasionally. She denied any fever, weight loss, night sweat or pruritus. There was no history of taking any long-term medication or exposure to chemicals or animal pets. Clinical examination was normal and in particular, she was afebrile and not in respiratory distress. SaO2was 98% at rest whilst she was breathing room air and spirometry was normal.

(a)
(b)

Fig. 1: CXR taken at presentation (a) and 17 days later (b). Left mid zone opacity remained unchanged despite a course of Azithromycin Blood tests revealed normal CBP, ESR & routine biochemistry. Antibodies for HIV 1 & 2 were negative. Thyroid function was normal but thyroid peroxidase antibody was elevated at 81.7 IV/ml (normal <12). CT thorax showed an area of segmental consolidation in the lingular segment of left upper lobe (fig. 2a), with no abnormality detected in other parts of the lungs, mediastinum or body structures. Bronchoscopy revealed nothing abnormal and bronchial washings grew alpha streptococcus but were negative for AFB smear, M tuberculosis DNA or malignant cells. She developed a cough after the bronchoscopy and responded to a course of levofloxacin.

(a)
(b)

Fig. 1: CXR taken at presentation (a) and 17 days later (b). Left mid zone opacity remained unchanged despite a course of Azithromycin Blood tests revealed normal CBP, ESR & routine biochemistry. Antibodies for HIV 1 & 2 were negative. Thyroid function was normal but thyroid peroxidase antibody was elevated at 81.7 IV/ml (normal <12). CT thorax showed an area of segmental consolidation in the lingular segment of left upper lobe (fig. 2a), with no abnormality detected in other parts of the lungs, mediastinum or body structures. Bronchoscopy revealed nothing abnormal and bronchial washings grew alpha streptococcus but were negative for AFB smear, M tuberculosis DNA or malignant cells. She developed a cough after the bronchoscopy and responded to a course of levofloxacin.

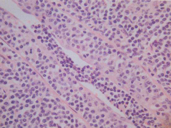
Fig. 3: VATS lung biopsy showing extensive diffuse infiltration by mainly small- to medium-sized slightly atypical lymphoid cells. Bronchial mucosal linings are also infiltrated by lymphoid cells. Immunophenotyping study shows that these lymphoid cells are CD20+, CD3- and CD5-, confirming the diagnosis of extranodal marginal zone B cell lymphoma of the MALT type.

She was treated with chemotherapy – 3-weekly regime of cyclophosphamide, adriamycin, vincristine & prednisolone (CHOP) – and tolerated the treatment well. A CT thorax was performed after 3 cycles of chemotherapy showed a slight reduction in the area of consolidation (fig. 2b).

Discussion
Primary pulmonary lymphomas are rare and constitute <0.5% of all primary lung neoplasms. Most are non-Hodgkin’s low-grade B-cell lymphomas, of which most are of the MALT type (1). As a group, MALTomas constitute about 5% of all non- Hogkin’s lymphoma, 50% of all gastric lymphomas and 70% of all primary pulmonary lymphomas (2). These tumours may also arise from salivary glands, thyroid tissue, breast and lacrimal gland. Pulmonary MALToma is most commonly seen in the 6th decade and very rarely occurs in children. Majority of patients are either asymptomatic or having mild respiratory symptoms such as cough, shortness of breath or haemoptysis. Occasionally, it is associated with auto-immune disease such as Sjogren’s syndrome and Hashimoto’s thyroiditis. Interestingly, this patient had a past history of hyperthyroidism and a raised thyroid perioxidase antibody level, although she had been euthyroid.

The radiographic changes of pulmonary MALToma are non-specific. CXR and High resolution CT thorax usually show multi-focal, ill-defined nodules containing air bronchograms or focal lobar consolidation similar to what is seen in this patient. Mediastinal lymphadenopathy and pleural changes are rare. These features are similar to those seen in bronchoalveolar cell carcinoma or bronchiolitis obliterans with organizing pneumonia (3). The possibility of MALToma should be considered in patients with non-resolving pneumonia, especially if there is an absence of prominent systemic or respiratory symptoms.

Treatment for localized MALToma should be by either surgical resection or radiotherapy, while disseminated disease requires chemotherapy. Interestingly, the response to treatment and long-term survival may not be affected by the presence or absence of dissemination (4). MALToma carries a good prognosis, with 80% of patients survive for ≥ l0 years.

References

  1. Li G, Hansmann M-L, Zwingers T et al. Primary lymphomas of the lung: morphological, immunohistochemical and clinical features. Histopathology 1990; 16:519
  2. Ahmed S, Siddiqui AK, Rai KR. Low-grade B-cell bronchial associated lymphoid tissue (BALT) lymphoma. Cancer Investigation 2002; 20: 1059
  3. McCulloch GL, Sinnatamby R, Stewart S, et al. High-resolution computed tomographic appearance of MALToma of the lung. Eur. Radiol. 1998; 8:1669
  4. Thieblemont C, Berger F, Dumontet C, et al. Mucosa-associated lymphoid tissue lymphoma is a disseminated disease in one third of 158 patients analysed. Blood 2000; 95:1258